セラミック
自然な歯に近い色合いと透明感を持ち、審美性を重視された非常に美しい仕上がりが得られます。ラミネートベニヤなどの前歯の治療に適しています。耐久性はジルコニアに比べてやや劣りますが、柔軟性が高く、複雑な形状にも幅広く対応が可能です。
ジルコニア
非常に耐久性が強く、歯が長持ちします。特に噛み合わせが強い部位の補綴として、クラウンやブリッジなどの長期的な使用に適しています。ジルコニアはセラミックに比べてやや白さが強いですが、こちらも美しい見た目を保つことができます。

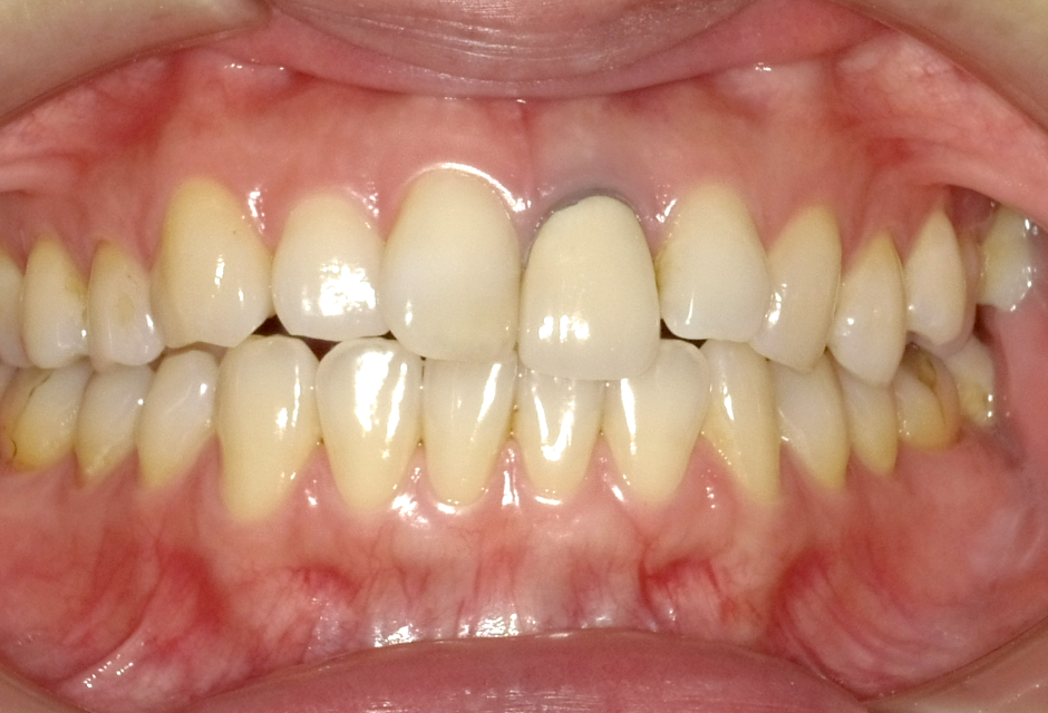
Before
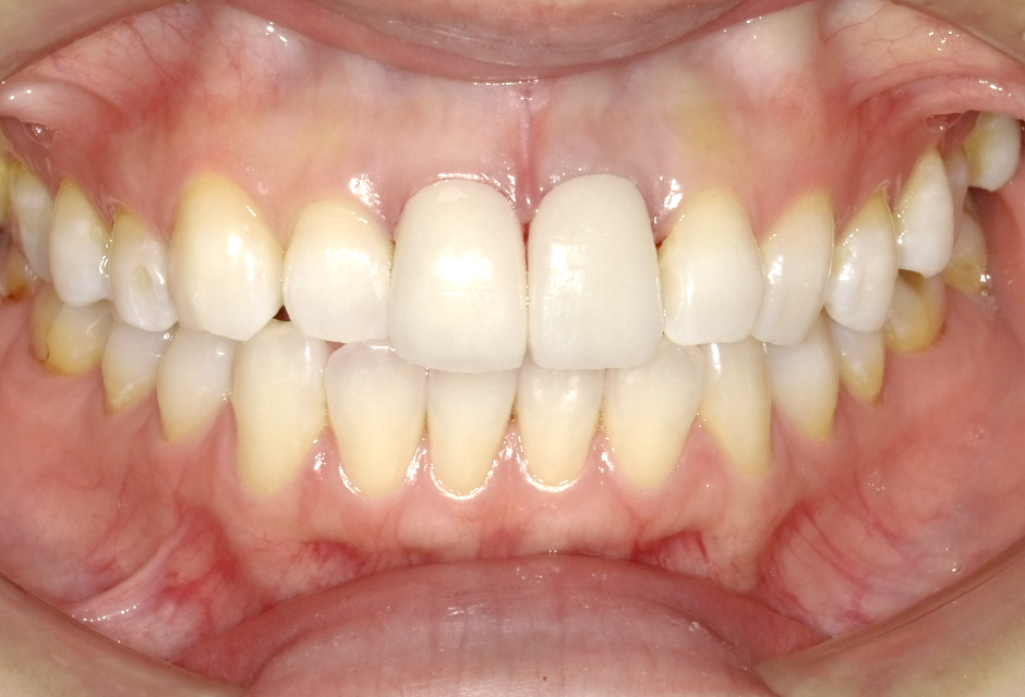
After
Before
After
Before
After
Before
After